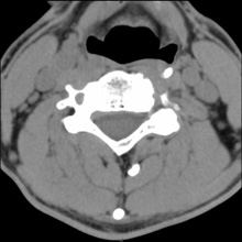
Für das Bild der Woche wurde dieses Mal eine besondere Vorrichtung benutzt. Auf Grund ständiger Schmerzen im rechten Oberarm suchte ich meinen Hausarzt auf. Nach einer kurzen Untersuchung vermutet er etwas im Halswirbelbereich und schickte mich zum Radiologen. Dort wurde eine Computer Tomografie (CT) gemacht. Die Bilder erhielt ich auf einer CD für meinen Hausarzt.
Und weil ich nun mal neugirig bin, legte ich die CD in das Laufwerk meines Rechners und siehe da, es tat sich was. Auf der CD ist ein Viewer, mit dem man sich die Ergebnisse der CT ansehen kann. Sieht schon toll aus, nur deuten kann ich es nicht. Fahren Sie mal mit der Maus in das Bild. Dann bekommen Sie einen kleinen Eindruck von den verschiedenen Schichten. Mal sehen, was mein Hausarzt in der nächsten Woche dazu sagt....


Kommentar schreiben